O que é a Degenerescência Marginal de Terrien?

Surpreendentemente, pouco se sabe sobre as causas da degenerescência marginal de Terrien (DTM). O que sabemos é que: é rara, três em cada quatro pessoas afectadas são homens; o seu início ocorre normalmente entre a terceira e a quinta década de vida e, na maioria das vezes, ambos os olhos são afectados.

Sabemos mais sobre a patologia: a doença é caracterizada pelo adelgaçamento da margem (bordos) da córnea onde esta se encontra com a parte branca do olho (a esclerótica). O afinamento começa normalmente na parte superior da margem, progride e envolve toda a circunferência da periferia da córnea. A doença resulta normalmente no crescimento de novos vasos sanguíneos - neovascularização - e na formação de cicatrizes e depósitos de lípidos (normalmente vistos como opacidades estromais pontuais finas e amareladas) na margem. À medida que a degenerescência progride, conduz normalmente a um aumento do astigmatismo contra a regra ou oblíquo. A córnea pode ficar gravemente enfraquecida, podendo ocorrer rupturas espontâneas da membrana de Descemet que resultam em líquido interlamelar ou quistos da córnea. Embora a perfuração espontânea seja rara, mesmo um pequeno traumatismo pode perfurar a córnea. A questão é: como é que a DTM pode ser tratada?

Até há pouco tempo, não havia muito que se pudesse fazer, para além de tentar controlar o astigmatismo dos doentes com óculos ou lentes rígidas permeáveis ao gás e monitorizar cuidadosamente o afinamento da córnea. Mas se a córnea se torna tão fina que a perfuração é iminente, então o transplante de córnea é o próximo passo lógico - embora, dado o facto de a doença ser de natureza periférica e os transplantes de córnea terem de se estender à periferia da córnea... o sucesso do tratamento pode ser extremamente difícil de alcançar.

No entanto, há outra abordagem que pode ajudar.

A Degenerescência Marginal de Terrien pode ser reticulada?

O reticulado da córnea (CXL) pode tratar com sucesso as ectasias da córnea (doenças de afinamento) como o ceratocone, a ectasia pós-LASIK e o derretimento da córnea. Pensa-se que a ligação cruzada das proteínas (principalmente colagénio) no estroma da córnea não só fortalece a córnea, como também a torna mais resistente à digestão enzimática. Se o CXL pode parar o derretimento da córnea (uma caraterística da DTM), poderá também impedir a progressão da DTM?

Sim. Tratámos com sucesso vários doentes com DTM utilizando CXL, aplicado na área de afinamento máximo da córnea, e utilizando uma esponja para cobrir e proteger o limbo corneano da iluminação UV. Verificámos que o CXL, utilizando o Protocolo de Dresden, padrão-ouro, não só melhora a forma da córnea destes doentes, a acuidade visual e a qualidade, como também inverte o afinamento da córnea que ocorreu nas áreas ectásicas periféricas fundidas das córneas destes doentes.

A melhor explicação para estes resultados é o facto de o CXL aumentar a resistência do estroma da córnea à digestão enzimática. Em condições normais, existe uma homeostase - um equilíbrio fino - entre a síntese e a degradação do colagénio da córnea. Aparentemente, o CXL, ao dificultar a degradação do colagénio, altera o equilíbrio para a síntese, o que explicaria as melhorias na espessura da córnea destes doentes observadas até à data. Um tratamento bem sucedido com CXL tem a vantagem adicional de evitar a necessidade de queratoplastia - ajudando a preservar o escasso tecido da córnea e poupando o doente aos riscos e ao exigente regime de colírio pós-procedimento que é parte integrante dos procedimentos de transplante da córnea.

Estes resultados implicam também uma outra utilização do CXL na DTM: a profilaxia. Ao contrário do ceratocone em adultos, que começa e pára de progredir, e onde o CXL só é indicado para utilização quando se observa progressão, a DTM tende a continuar a progredir inexoravelmente. O CXL realizado no início da evolução da DTM pode ajudar a travar a progressão da doença precocemente, preservando a visão e talvez poupando as pessoas à necessidade de utilizar lentes rígidas permeáveis ao gás ou a algumas das manifestações posteriores da doença.

 

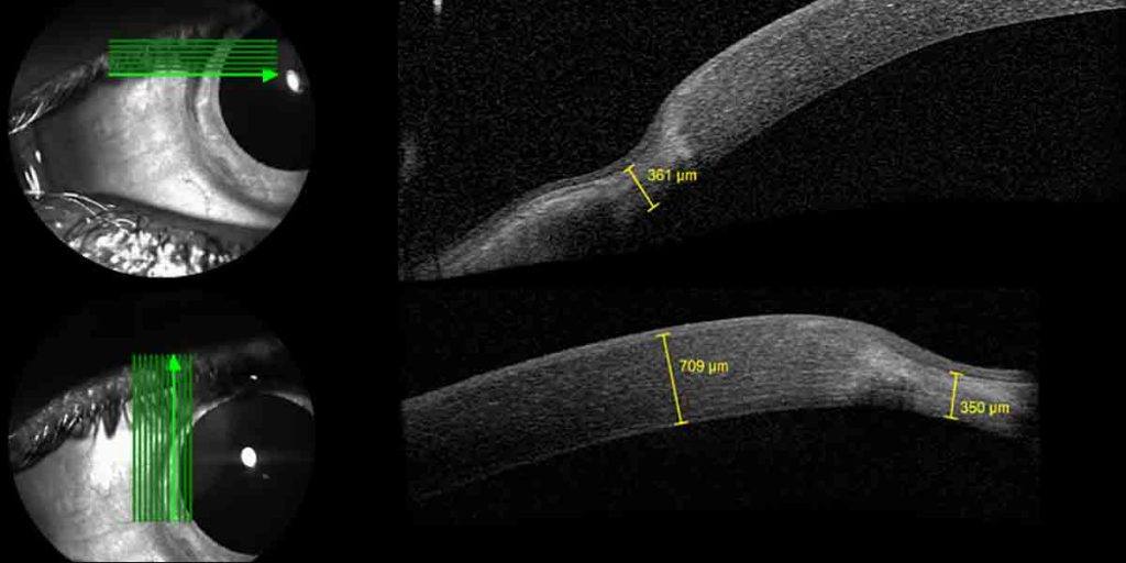
Esta imagem de OCT mostra um afinamento da córnea na periferia (os bordos) da córnea)

Este mapa de topografia da córnea mostra que a DTM do paciente resultou numa assimetria significativa da córnea e, consequentemente, em astigmatismo.